
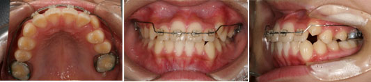
主訴:前歯の歯並びが気になる(叢生)
上下マルチブラケット使用
抜歯部位「14」「24」「34」「45」
概算費用:90万円
初診時(25歳)


2年5か月後

リスク副作用:歯根吸収、あと戻り
主訴:永久歯のスペースが不足している(叢生)
上下マルチブラケット使用
非抜歯
概算費用:75万円
初診時(10歳)


5か月後


1年5か月後

リスク副作用:歯根吸収、あと戻り
主訴:前歯が出ている(上顎前突)
上下マルチブラケット使用
抜歯部位「24」
概算費用:90万円
初診時(15歳)


1年3ヶ月後


2年4か月後

リスク副作用:歯根吸収、あと戻り
主訴:前歯が反対(反対咬合)
上下マルチブラケット使用
抜歯部位「14」「24」「34」「44」
概算費用:80万円
初診時(7歳)


2年後


6年後

リスク副作用:多発性カリエス
主訴:奥歯を治したい(C4)
上顎のみマルチブラケット使用
抜歯部位「16」「26」
概算費用:30万円
初診時(25歳)
前から数えて左右6番目の歯が進行した虫歯によって崩壊。


1年3ヶ月後
6番目の歯を抜歯後、7番目の歯を6番目の位置に移動。
7番目の位置に8番目(親知らず)が萌出。
ブリッジやインプラントを入れることなく、天然歯だけで回復できました。

リスク副作用:歯根吸収、あと戻り
主訴:歯が崩壊した(C4)
上顎のみマルチブラケット使用
抜歯部位「25」
概算費用:50万円
初診時(27歳)
前から数えて左5番目の歯が進行した虫歯によって崩壊。


1年6ヶ月後
5番目の歯を抜歯後、抜歯スペースに手前の歯を移動。
ブリッジやインプラントを入れることなく、天然歯だけで回復できました。
同時に前歯の位置不正も修正しました。

リスク副作用:歯根吸収、あと戻り
主訴:歯ぐきがよく腫れる(重度歯周病)
下顎のみマルチブラケット使用
抜歯部位「31」「42」
概算費用:20万円
初診時(60代)
数ヶ月に一度、定期洗浄に通われていましたが、
歯間ブラシでセルフケアすることもできず、たびたび歯ぐきが化膿して腫れていました。


1年後
矯正治療で、清掃しづらかった歯を移動させました。
被せ物をすることなく、セルフケアしやすい環境を整えたことで、
以前のように腫れることはなくなりました。


5年後
セルフケアと定期的なメンテナンスで大きな変化もなく経過しています。

リスク副作用:あと戻り
9年後
セルフケアと定期的なメンテナンスで大きな変化もなく経過しています。

リスク副作用:あと戻り

- ・一般歯科
- ・矯正歯科
- ・歯周病治療
- ・審美歯科
- ・インプラント
- ・予防歯科

お待たせすることをできるだけ少なくするため、「予約制」とさせていただいております。お電話にて症状とご都合をお聞かせください。

〒520-0044
滋賀県大津市京町3丁目4番32号
■電車
JR大津駅・京阪島ノ関駅から徒歩5分
■お車
当院西隣のコインパーキング、大津合同庁舎東隣の大津駅北口公共駐車場をご利用いただけます。
駐車券をお持ち下さい。ご利用分のパーキングチケットを発行いたします。